-
在线咨询
关注微信公众号
1.背景介绍
大鼠单侧输尿管结扎模型是研究肾间质纤维化最常用、最经典且被广泛认可的动物模型之一。它通过机械性梗阻模拟了人类因尿路梗阻(如结石、肿瘤、前列腺增生等)导致的进行性肾损伤和纤维化病理过程。其核心优势在于操作简便、表型明确快速、单侧设计有自身对照、高度可重复。
2.实验材料和方法
01 实验材料
SD大鼠(雄性,180-220g)
异氟烷(厂家:瑞沃德 型号:R510-22-10)
动物呼吸机(厂家:上海奥尔科特生物 型号:ALC-V8S)
通用型小动物麻醉机(厂家:瑞沃德 型号:R580S)
02 造模方法
1、适应性喂养7天,动物麻醉机混合纯氧进行麻醉。
2、麻醉后,将大鼠固定在手术台上,使其腹部充分暴露,碘伏消毒后切开腹部皮肤逐层分离腹部肌肉,将肠管推向右侧,充分暴露、分离左侧输尿管后,使用4-0慕丝线在输尿管的近膀胱端进行双结扎,并在两个结扎中间离断输尿管以防逆行性感染,结扎完成后进行缝合,造模1周后取材肾脏组织。
03 评价指标
3.验证
血清生化ELISA检测

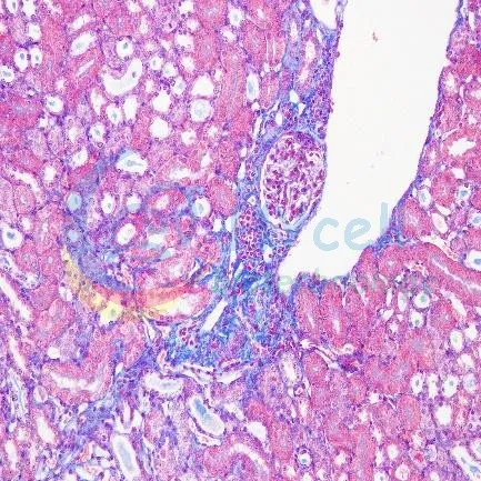
Masson染色
![]() |
![]() |
| 正常组 | 模型组 |
Masson染色结果:与正常组相比,模型组肾小管结构紊乱、管壁变薄,肾间质增宽,肾小球及间质出现纤维组织增生,有蓝色胶原纤维沉积。
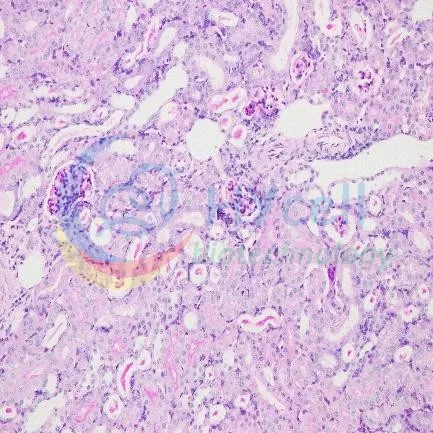
PAS染色
![]() |
![]() |
| 正常组 | 模型组 |
PAS染色结果:与正常组相比,模型组基底膜相对增厚,肾小球明显萎缩、腔隙增加,肾小动脉壁略有增厚、管腔变狭窄。
HE染色
![]() |
![]() |
| 正常组 | 模型组 |
HE染色结果:与正常组相比,模型组肾小球周围及肾间质有炎症细胞浸润,肾小管管腔明显扩张,肾小管上皮细胞萎缩扁平,部分管腔内上皮细胞有脱落、坏死,基底膜裸露。