-
在线咨询
关注微信公众号
1.背景介绍
L-精氨酸诱导的胰腺炎是一种常用且重要的实验动物模型,用于研究急性胰腺炎的发病机制、病理生理过程以及潜在的治疗方法。这个模型具有操作相对简单、可重复性好、能模拟人类急性胰腺炎(特别是重症坏死性胰腺炎)的许多关键特征等优点。 L-精氨酸是一种碱性氨基酸,是合成蛋白质、一氧化氮、多胺、肌酸和尿素的重要前体。当给大鼠腹腔注射(i.p.)或静脉注射(i.v.)超高剂量的L-精氨酸时,远远超出了其正常的生理代谢能力。过量的L-精氨酸及其代谢产物(如多胺、活性氧、一氧化氮)会直接损伤胰腺腺泡细胞。
2.实验材料和方法
01 实验材料
SD大鼠(雄性,4~6周)
L-精氨酸(厂家:阿拉丁 货号:A108220)
02 造模方法
适应性饲养1周,20%L-精氨酸溶液按照2500mg/kg剂量腹腔注射,一小时一次,一天两次,造模2天后取材胰腺组织。
03 评价指标
血清炎症因子检测, HE染色,免疫组化(MPO,F4/80)
3.验证
血清炎症因子检测

HE染色
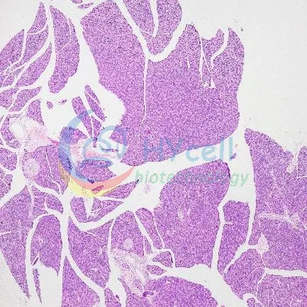
![]() |
![]() |
| 正常组 | 模型组 |
HE染色结果:与正常组相比,模型组胰腺小叶结构相对紊乱,部分腺泡肿胀坏死、结构模糊、边界不清晰,胰腺间质有炎细胞浸润和红细胞渗出。
免疫组化 (MPO,F4/80)
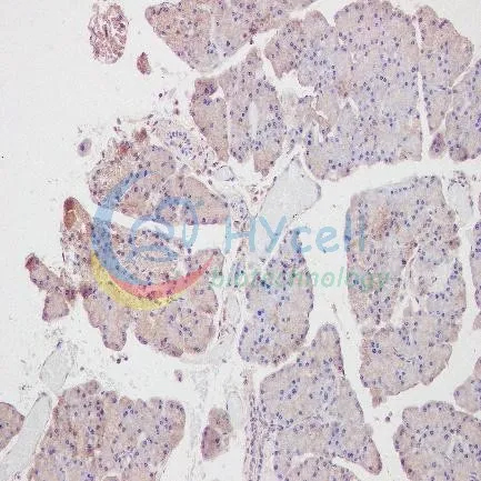
![]() |
![]() |
| 正常组 | 模型组 |
MPO染色:与正常组相比,模型组胰腺MPO阳性染色显著升高,表明中性粒细胞在胰腺组织中的大量浸润。同时可看到部分视野腺泡结构不太完整。
![]() |
![]() |
| 正常组 | 模型组 |
F4/80染色:与正常组相比,模型组胰腺F4/80阳性相对增多,主要集中在胰腺腺泡间隙。表明巨噬细胞在组织中的浸润增加。